Research, insights, and stories about psilocybin-assisted therapy from Dr. Tracy Townsend and the Meadow Medicine team.

March 12, 2026
Michael Kelly shares his journey into end-of-life psilocybin facilitation and why sitting with someone facing death has become his calling.

March 11, 2026
A team spotlight on Nitai Aleksiewicz — his path to psilocybin facilitation, what makes a great facilitator, and how Meadow's physician-led model supports the work.

October 6, 2025
Prepare for a safe, transformative psilocybin experience with our 6-part masterclass covering physical, mental, emotional, and psycho-spiritual dimensions.

September 3, 2025
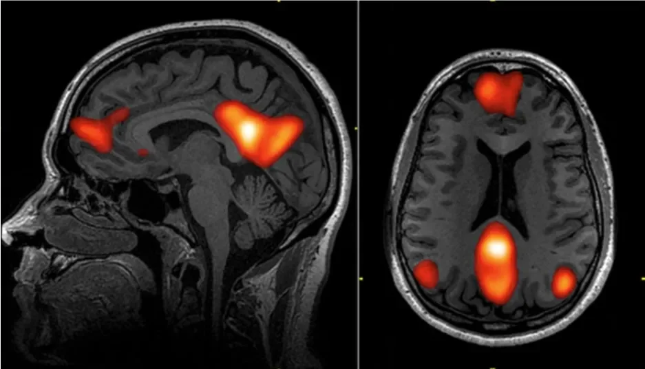
How psilocybin targets the brain's Default Mode Network to interrupt negative thought cycles and promote neuroplasticity for anxiety relief.

September 3, 2025
Imperial College London research demonstrates sustained improvements in treatment-resistant depression up to six months after psilocybin-assisted therapy.

September 3, 2025
Dr. Tracy Townsend shares her path from orthopedic surgery to founding Meadow Medicine and pioneering psilocybin-assisted therapy in Oregon.

March 11, 2019
How psilocybin therapy offers physicians a path to healing from burnout, reconnecting with empathy, curiosity, and professional purpose.

March 11, 2019
Key insights from Oprah's interview with Michael Pollan on the therapeutic potential of psychedelics for depression, PTSD, and addiction.

March 11, 2019
Dr. Townsend discusses her surgical approach to psilocybin facilitation and the parallels between operating rooms and ceremony spaces.